Mitochondria | The Energy Production Organelle
Objective 5.2
5.2.1 Identify mitochondria as the energy-synthesizing organelles of eukaryotic cells.
5.2.2 Name essential features of mitochondria.
We have mentioned the role of adenosine triphosphate (ATP) as the “energy currency” of the cell. To illustrate, consider this analogy. Every day, we use currency (money), rather than barter, to make commercial transactions easier. In general, we burn energy (labor, in the form of mental energy, physical energy, or both) to receive currency and then we use the currency to purchase goods and services.
Similarly, in body cells, we capture and store energy from exergonic reactions as energy currency (ATP) and then spend that currency on endergonic reactions.
In the US, the Bureau of Engraving and Printing makes currency (money). In cells, the mitochondrion (pl. mitochondria) makes ATP.
The energy is stored in the chemical bonds of the ATP molecule and these bonds can be broken to release the energy when needed for cellular activity.

Cells with larger energy requirements (i.e. that use more ATP) have more mitochondria (to produce more ATP).
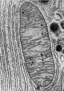
Mitochondria consist of two phospholipid bilayers (outer mitochondrial membrane and inner mitochondrial membrane). Between the two membranes is the intermembrane space. Inside the extensively-folded inner membrane is the enzyme-rich, liquid matrix.
Mitochondria have their own DNA, completely separate from the cell’s DNA in the nucleus. In Unit 20 (The Reproductive System), we’ll see that the father’s sperm contributes only DNA to the fertilization process (no organelles, no cytosol, nothing but DNA).
The ovum, on the other hand, has all the necessary organelles which will be duplicated over and over as the single-cell zygote divides again and again to eventually produce about 10 trillion cells in the adult body. Each of the mitochondria in each of those cells therefore originates from, and carries its own DNA from, the mother’s egg. Mitochondrial DNA is passed exclusively from mother to daughter and mother to son (never from father to daughter or father to son).
Media Attributions
- U05-003 Animal_mitochondrion_diagram_en.svg © LadyofHats; Villarreal, Mariana Ruiz adapted by Brad Winterton is licensed under a Public Domain license
- U05-004 FawcettTheCell fig218 © Fawcett, Don W. is licensed under a CC BY-NC-ND (Attribution NonCommercial NoDerivatives) license